CENTRE DENTAIRE DU TOLOSAN
PARODONTOLOGIE IMPLANTOLOGIE DENTISTERIE ESTHETIQUE
ACCUEIL
LE CABINET
L'EQUIPE
LE CABINET EN IMAGES
NOS VIDEOS
SOINS DENTAIRES
PARODONTOLOGIE
IMPLANTOLOGIE
ESTHETIQUE
TRAITEMENT ORTHODONTIQUE PAR ALIGNER
GENERAL
FICHES CONSEILS
SOINS DENTAIRES
PARODONTOLOGIE
IMPLANTOLOGIE
ESTHETIQUE
TRAITEMENT ORTHODONTIQUE PAR ALIGNER
GENERAL
PRENDRE RDV
DOCTEUR HELENE ANSERMINO
DOCTEUR ENZO ALVES
DOCTEUR PAUL AUTHIER
URGENCES
ACCUEIL
LE CABINET
L'EQUIPE
LE CABINET EN IMAGES
NOS VIDEOS
SOINS DENTAIRES
PARODONTOLOGIE
IMPLANTOLOGIE
ESTHETIQUE
TRAITEMENT ORTHODONTIQUE PAR ALIGNER
GENERAL
FICHES CONSEILS
SOINS DENTAIRES
PARODONTOLOGIE
IMPLANTOLOGIE
ESTHETIQUE
TRAITEMENT ORTHODONTIQUE PAR ALIGNER
GENERAL
PRENDRE RDV
DOCTEUR HELENE ANSERMINO
DOCTEUR ENZO ALVES
DOCTEUR PAUL AUTHIER
URGENCES
24 Avenue De La Viste
31180
Rouffiac-Tolosan
CENTRE DENTAIRE DU TOLOSAN
+33561822990
PARODONTOLOGIE IMPLANTOLOGIE DENTISTERIE ESTHETIQUE
Blog - Page 10
Implant et régénération osseuse
EN SAVOIR PLUS
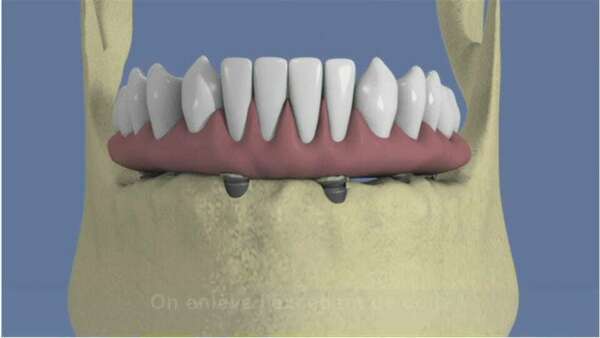
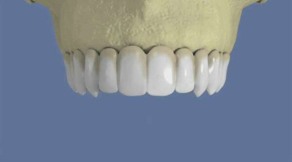
Maxillaire complet et traitement implantaire pour un bridge fixe vissé
EN SAVOIR PLUS
Comblement de sinus par abord latéral sans pose d’implant
EN SAVOIR PLUS
Maxillaire complet et traitement implantaire pour un bridge fixe scellé
EN SAVOIR PLUS
Maxillaire : bridge complet scellé sans fausse gencive
EN SAVOIR PLUS
Mandibule complète et traitement implantaire pour un bridge fixe scellé
EN SAVOIR PLUS
Maxillaire : bridge vissé sans fausse gencive
EN SAVOIR PLUS
Maxillaire all-on-6 et comblement de sinus
EN SAVOIR PLUS
Maxillaire : all-on-4
EN SAVOIR PLUS
Bridge transvissé 4 dents
EN SAVOIR PLUS
Comblement osseux après une extraction dentaire
EN SAVOIR PLUS
Comblement de sinus par voie latérale (sinus lift) avec implantation différée
EN SAVOIR PLUS
Affichage des articles 109-120 sur 174
‹
1
2
…
6
7
8
9
10
11
12
13
14
15
›
À la une
(3)
Général
(6)
Informations pratiques
(9)
L'équipement du cabinet dentaire
(9)
Les choix esthétiques
(11)
Les dents de l’enfance à l’adolescence
(5)
Les dents et la santé
(23)
Les gencives
(20)
Les implants
(23)
Les pathologies bucco-dentaires
(22)
Les prothèses
(34)
Omnipratique
(160)
Prendre soin des dents
(5)
Traitement orthodontique par aligner
(1)
CENTRE DENTAIRE DU TOLOSAN
24 Avenue De La Viste
31180
Rouffiac-Tolosan
+33561822990
Politique de confidentialité et charte cookie
Mentions légales
Conditions Générales Utilisation
Charte déontologique
Ordre national
Annuaires chirurgiens dentistes
Horaires du cabinet
Lundi
8h30 - 18h30
Mardi
8h30 - 18h30
Mercredi
8h30 - 18h30
Jeudi
8h30 - 18h30
Vendredi
8h30 - 18h30
Samedi
8h30 - 12h30
Dimanche
Fermé
Création par
Connexion